Temecula

Emergency Dentist

Same-Day Emergency Dental Appointments!

Open Saturdays!

limited time offer

In Pain? Get a Same-Day Emergency Exam & X-Ray for Just $79!*

Call our office today to make Ethos Advanced Dental Care your Temecula Dentist, and schedule an appointment.

“Your journey to a healthier, more beautiful smile starts here with our comprehensive first-visit special.”

New Patient Special at Ethos Advanced Dental Care

Why Choose Us

Ethos for Emergency Dental Care in Temecula

When severe dental pain strikes, you need fast, compassionate, and expert care exactly when you need it most. At Ethos Advanced Dental Care, we understand that toothaches and dental emergencies don’t wait for normal business hours. That is why our dedicated team of Temecula emergency dentists is proud to be open late evenings and Saturdays.

Whether you’re experiencing sudden pain, a broken tooth, a dental injury, or signs of an infection, we are ready to help you get immediate relief and protect your smile. Don’t spend your night or weekend waiting in agony. We offer comprehensive urgent dental care designed around your schedule:
Open Late Evenings & Saturdays

Dental emergencies don’t stick to a 9-to-5 schedule. We offer extended after-hours and weekend appointments so you can get relief when most other offices are closed.

Same-Day Appointments Available

We intentionally reserve dedicated time slots daily for urgent care and walk-ins so you don’t have to wait in pain. (Ask about our $79 Same-Day Emergency Exam & X-Ray!)

Central Temecula Location

Conveniently located to quickly serve patients in Temecula, Murrieta, Pechanga, and surrounding communities.

Advanced Technology & Experience

Utilizing modern digital imaging, state-of-the-art tools, and years of emergency expertise, we can instantly diagnose the root cause of your pain and treat it efficiently.

Patient Comfort & Compassion

Dental emergencies are stressful. We treat you like family, prioritizing your comfort with clear explanations, gentle, judgment-free care, and complete respect.

Flexible Payment Options

Getting out of pain shouldn’t cause financial panic. Most dental insurances are accepted and flexible financing is available.

In pain right now? Call us immediately at (951) 699-0900 to schedule your visit!

Emergency Dentistry

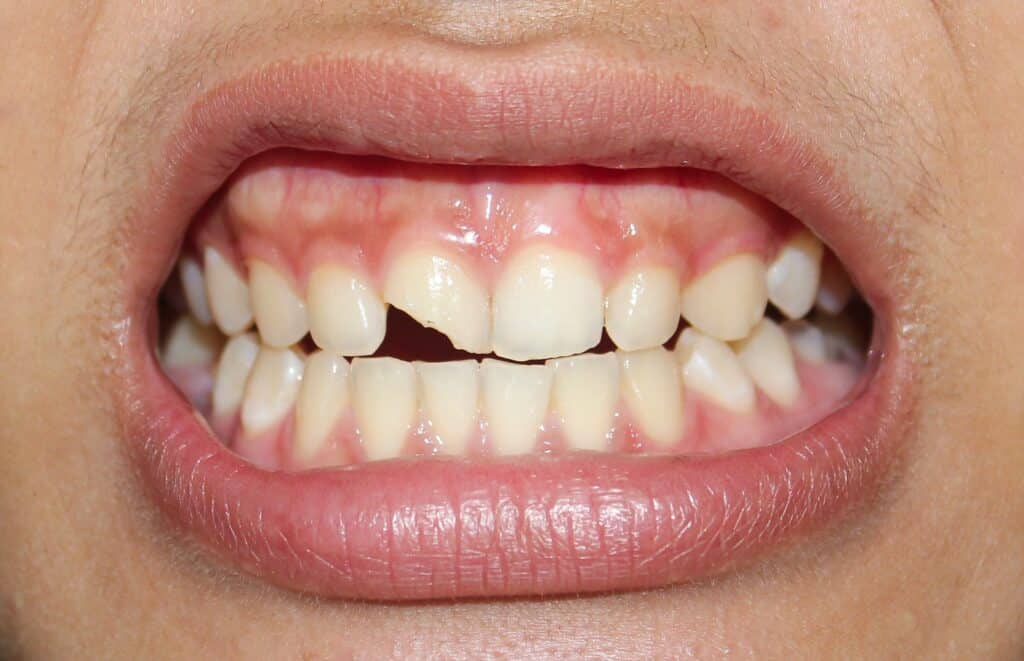
What Counts as a Dental Emergency?

Not every toothache requires immediate care — but some issues demand fast attention. Contact us or come in right away if you have:

  • Severe toothache that won’t go away
  • Cracked, chipped, or fractured tooth
  • Crown, filling, or bridge knocked out or broken
  • Gum swelling, abscess, or infection
  • Knocked-out (avulsed) tooth
  • Uncontrolled bleeding or soft tissue trauma
  • Sharp pain when biting or chewing
  • Persistent sensitivity, fever, or swelling

Dental emergencies can escalate quickly — what starts as minor pain can lead to infection, bone damage, or tooth loss if left untreated.

Before You Arrive

First-Aid Tips for Dental Pain

If you’re facing a dental emergency, taking a few quick steps before you reach Ethos Advanced Dental Care can help reduce pain and protect your smile:

  • Rinse gently with warm salt water (½ tsp in 8 oz). It helps clean the area and ease irritation.
  • Take over-the-counter pain relievers as directed. Avoid placing aspirin directly on the gums.
  • Apply a cold compress to your cheek for 10–15 minutes to limit swelling.
  • Avoid chewing on the injured side and stick to soft foods until your visit.
  • Cover sharp or broken edges with sugarless gum or dental cement to prevent cuts.
  • Keep a knocked-out tooth moist in milk or saline — or between your cheek and gum — and bring it with you.


These steps can provide temporary relief, but only a dentist can address the root cause and restore your comfort.

Temecula Emergency dentist

What to Expect from Your Dental Visit

Prompt Evaluation and Diagnosis
Digital X-rays or scans to see the full picture.
Pain Relief
Local anesthetic or other options to control discomfort.
Immediate Treatment or Stabilization

We may perform:

  • Temporary or permanent fillings
  • Crown repair or replacement
  • Root canal therapy
  • Tooth extraction (only when necessary)
  • Drainage or antibiotic therapy for abscesses
  • Re-attachment of knocked-out teeth (if possible)
Follow-Up and Long-Term Restoration
Once stabilized, we’ll guide you through crowns, implants, or bridges as needed.

Pro Tip: If your tooth is knocked out, hold it by the crown (not the roots), rinse gently, and store it in milk or saliva. Bring it with you — every minute matters

Need Urgent Dental Care in Temecula?

Call Us Now

Same-Day Emergency Appointments • Trusted Temecula Dentists

  1. Call (951) 257-9676
  2. Tell us your symptoms — pain, swelling, or trauma
  3. We’ll reserve a spot and provide guidance
  4. Arrive and get fast relief from our amazing team



Ethos Advanced Dental Care — Trusted Emergency Dentists in Temecula, CA


Same-Day Relief • Compassionate Care • Long-Term Results

Common

Frequently Asked Questions

What qualifies as a dental emergency?

A dental emergency is any oral health issue that requires immediate professional attention to stop severe pain, control ongoing bleeding, or save a damaged tooth. Common emergencies we treat at our Temecula dental clinic include excruciating toothaches, knocked-out (avulsed) teeth, cracked or severely broken teeth, lost dental crowns or fillings, and dental abscesses (infections that cause swelling in the gums, jaw, or face). If you are experiencing sudden swelling or unbearable pain that prevents you from sleeping, eating, or working normally, do not wait. Call our emergency dentist team immediately before the infection spreads.
Yes, absolutely! At Ethos Advanced Dental, we understand that tooth pain is unbearable and rarely happens at a convenient time. We prioritize emergency patients and actively build buffer times into our daily schedule to accommodate same-day emergency dental appointments. Whether you live right here in Temecula or are driving in from Murrieta, Pechanga, or Wine Country, our goal is to get you into the chair, diagnose the problem, and provide fast pain relief the very same day. Please call us at (951) 257-9676 as early as possible so we can prepare for your arrival and minimize your wait time.
We believe that accessing urgent dental care shouldn’t add financial panic to an already stressful situation. That is why we offer a special $79 Emergency Exam and X-Ray for patients experiencing a crisis. During this visit, our emergency dentists will thoroughly evaluate your condition and take the necessary digital X-rays to pinpoint the exact cause of your pain. Once we identify the problem, we will provide a completely transparent, upfront breakdown of any further treatment costs (such as an emergency tooth extraction, filling, or root canal therapy) before any additional work begins. There are never any hidden fees or surprises.
Yes, we are! We know that broken teeth and severe toothaches don’t stick to a standard 9-to-5 business schedule. To best serve the Temecula Valley community, our dental office on Rancho California Rd offers extended hours. We are open for early morning and late afternoon appointments during the week (7:00 AM – 6:00 PM on select days) and proudly offer Saturday emergency dentist appointments from 8:00 AM to 2:00 PM. If you are looking for an after-hours or weekend dentist in Temecula, give us a call right away.
Should I go to the hospital ER or an emergency dentist for a severe toothache?
A knocked-out tooth is a highly time-sensitive dental emergency. If handled correctly, the tooth can often be saved and re-implanted! First, locate the tooth and pick it up only by the crown (the top chewing surface)—be very careful never to touch the sensitive roots. Rinse it gently with water if it is dirty, but do not scrub it or remove any attached tissue. If possible, try to gently place the tooth back into its socket and bite down softly on gauze. If you cannot do this, keep the tooth moist by placing it in a small container of milk or holding it inside your cheek. Head to our Temecula emergency dental clinic immediately; getting to us within 30 to 60 minutes gives you the absolute best chance of saving the tooth.

Local Dental Care You Can Trust

Serving All of Temecula & Nearby Areas

Temecula
Temecula
Choose Ethos Advanced Dental Care

Why CHoose Us

What Makes Ethos Advanced Dental Care Special?

Choose Ethos Advanced Dental Care
Ethos Standard of Excellence

Combining advanced techniques with compassionate care.

Digital Precision

Intraoral scanning and 3D diagnostics for accuracy.

Comfort-Focused Dentistry

Gentle care and sedation options for peace of mind.

Continuity of Care

From emergency relief to full restoration, handled in-house.

Community Commitment

Proudly serving Temecula with integrity and skill.

Preventing

Future Dental Emergencies

Regular Cleanings and Exams Every 6 Months
Wear a Mouthguard for Contact Sports
Avoid Chewing Ice, Hard Candies, or Non-Food Objects
Replace Worn or Cracked Fillings Early
Brush and Floss Consistently
Address Dental Discomfort Early Before It Escalates

have an emergency?

Call Now for Emergency Dental Care

If you’re experiencing severe tooth pain, a broken tooth, or another dental emergency, don’t wait. Prompt treatment can relieve discomfort and prevent further damage. Call Ethos Advanced Dental Care at (951) 257-9676 right away, and our team will help schedule your emergency visit and provide the care you need to protect your smile.